Radiologie Croisette Centres de radiologie du bassin cannois
6 centres · 11 radiologues
Radiographie, Mammographie, Echographie, Doppler, Scanner, IRM, EOS, Ostéodensitométrie, Cone Beam et radiologie interventionnelle au service de votre santé.
Votre centre d'imagerie médicale à Cannes et Le Cannet
Depuis plus de 50 ans, le groupe Radiologie Croisette accompagne les patients et les médecins du bassin cannois dans le diagnostic par l'image. Nos radiologues exercent dans des centres répartis entre Cannes, Le Cannet et La Bocca, pour vous offrir un accès rapide à l'ensemble des examens d'imagerie médicale : IRM, scanner, mammographie, échographie, radiographie, EOS et radiologie interventionnelle. Nous investissons continuellement dans des équipements de dernière génération et dans la formation de nos équipes pour garantir des diagnostics précis, fiables et réalisés dans les meilleures conditions de confort et de sécurité.
6
Centres d'imagerie
11
Radiologues spécialisés
8
Modalités d'imagerie
+50 ans
D'expérience
Nos Équipements
Des technologies de pointe pour des diagnostics précis et fiables.
Radiographie
Imagerie conventionnelle et numérique
Scanner
Scanner diagnostic et scanner interventionnel en salle ISO7
IRM 1.5T & 3T
Imagerie de précision sans rayonnement
Mammographie
Dernière génération avec tomosynthèse 3D, micro et macrobiopsies
EOS
Radiographie ultra basse dose corps entier en charge
Cone Beam
Imagerie dentaire et ORL basse dose
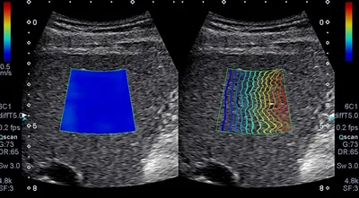
Échographie
Doppler et élastographie
Ostéodensitométrie
Analyse de la densité osseuse et de la composition corporelle
(masse maigre / masse grasse)
Nos Pôles d'Expertise
Des surspécialisations pour une prise en charge experte de chaque patient.
Imagerie de la Femme
Mammographie avec tomosynthèse 3D, échographie mammaire et pelvienne, dépistage et suivi personnalisé.
Ostéo-articulaire
EOS basse dose, IRM articulaire, scanner et échographie pour le diagnostic des pathologies du sport, de l'arthrose et du dos.
Radiologie Interventionnelle
Infiltrations, cimentoplasties, injections PRP, thermocoagulation et biopsies sous guidage radio, scanner ou échographique.
Imagerie Vasculaire
Doppler artériel et veineux, angioscanner pour l'exploration des vaisseaux et le suivi des pathologies vasculaires.
Imagerie Neurologique
IRM cérébrale et médullaire, scanner cérébral pour le diagnostic et le suivi des pathologies neurologiques.
Pourquoi choisir Radiologie Croisette
Équipements dernière génération
IRM 1.5 et 3 Tesla, système EOS basse dose, mammographie avec tomosynthèse 3D, seul scanner interventionnel installé en salle ISO7 du bassin de soin : nous disposons des technologies les plus avancées pour un diagnostic précis et confortable.
11 radiologues spécialisés
Chaque radiologue de notre équipe développe une surspécialisation — imagerie de la femme, ostéo-articulaire, neurologique, vasculaire, interventionnel simple et complexe (biopsies, cimentoplasties, thermocoagulation) — pour une interprétation experte de vos examens.
6 centres de proximité
Répartis entre Cannes, Le Cannet et La Bocca, nos centres vous garantissent un accès rapide et des délais de rendez-vous courts, y compris pour les urgences sans rendez-vous.
Résultats en ligne sécurisés
Retrouvez vos comptes rendus et vos images sur notre portail patient sécurisé, accessibles 24h/24 depuis votre ordinateur ou votre smartphone.
Notre Équipe
Une équipe pluridisciplinaire au service de votre diagnostic et de votre traitement.
Nos Examens d'Imagerie Médicale
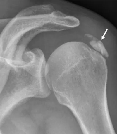
Radiographie
Examen d'imagerie utilisant les rayons X avec capteurs numériques pour des doses réduites et une qualité d'image optimale.
En savoir plusÉchographie
Examen d'imagerie indolore utilisant les ultrasons pour visualiser les organes et les tissus en temps réel.
En savoir plusEOS
Système de radiographie innovant offrant des images corps entier en position debout avec une dose de rayonnement ultra-réduite.
En savoir plusMammographie
Examen de dépistage et de diagnostic du sein par mammographie 3D avec tomosynthèse, offrant une détection supérieure à faible dose.
En savoir plusScanner
Examen d'imagerie par rayons X permettant d'obtenir des images en coupes détaillées du corps humain.
En savoir plusIRM
Examen d'imagerie utilisant un champ magnétique et des ondes radio pour obtenir des images détaillées du corps sans rayons X.
En savoir plusDoppler
Examen ultrasonore permettant d'analyser la circulation sanguine et de détecter les anomalies vasculaires.
En savoir plusÉlastographie
Technique d'imagerie non invasive mesurant la rigidité des tissus par ondes de cisaillement pour évaluer nodules thyroïdiens et fibrose hépatique.
En savoir plusMicrobiopsie Mammaire
Prélèvement tissulaire mammaire par aiguille fine sous guidage échographique pour analyse histologique.
En savoir plusMacrobiopsie Mammaire
Prélèvement tissulaire mammaire par biopsie assistée par aspiration sous guidage stéréotaxique pour l'analyse de microcalcifications.
En savoir plusOstéodensitométrie
Examen de référence pour la mesure de la densité minérale osseuse et le dépistage de l'ostéoporose.
En savoir plusArthro Scanner
Examen combinant une injection articulaire de produit de contraste iodé et un scanner pour explorer les articulations en haute résolution.
En savoir plusAngio Scanner
Examen scanner avec injection de produit de contraste iodé intraveineux permettant d'explorer les vaisseaux sanguins et de réaliser des reconstructions 3D.
En savoir plusColoscopie Virtuelle
Examen scanner non invasif du côlon permettant un dépistage du cancer colorectal sans anesthésie ni endoscopie.
En savoir plusArthro-IRM
Examen combinant une injection intra-articulaire de gadolinium et une IRM pour une analyse fine des structures articulaires.
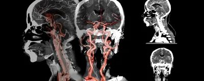
En savoir plusAngio-IRM
Examen d'imagerie par résonance magnétique permettant de visualiser les artères et les veines sans rayons X.
En savoir plusEntéro-IRM
Examen d'IRM dédié à l'exploration de l'intestin grêle, sans irradiation, particulièrement indiqué dans la maladie de Crohn.
En savoir plusDacryoscanner
Examen d'imagerie des voies lacrymales par injection de produit de contraste pour diagnostiquer les causes de larmoiement chronique.
En savoir plusPanoramique Dentaire
Examen radiographique rapide et indolore offrant une vue d'ensemble de la dentition, des mâchoires et des structures adjacentes.
En savoir plusCone Beam
Examen d'imagerie volumique 3D à ultra basse dose pour les explorations dentaires, ORL et ostéo-articulaires.
En savoir plusInfiltrations sous scanner
Injections locales de corticoïdes retard guidées par scanner pour le traitement de la douleur rachidienne et radiculaire.
En savoir plusCimentoplastie
Injection de ciment biocompatible dans une vertèbre fragilisée pour soulager la douleur et consolider la fracture.
En savoir plusArthrodistension
Injection contrôlée de liquide dans une articulation pour distendre la capsule articulaire et améliorer la mobilité.
En savoir plusInfiltrations périphériques
Injections de corticoïdes ou d'anesthésiques dans ou autour d'une articulation sous contrôle échographique ou radiographique pour soulager la douleur.
En savoir plusTrituration
Procédure mini-invasive sous échographie pour fragmenter et aspirer les calcifications des tendons de la coiffe des rotateurs.
En savoir plusViscosupplémentation
Injection d'acide hyaluronique dans une articulation sous guidage d'imagerie pour restaurer la lubrification et soulager l'arthrose.
En savoir plusInjections PRP
Traitement innovant utilisant les propres plaquettes du patient pour favoriser la réparation tissulaire et soulager la douleur.
En savoir plusQuestions fréquentes
Si votre question n'est pas listée ici, n'hésitez pas à nous contacter.



