Radiographie numérique
Examen d'imagerie utilisant les rayons X avec capteurs numériques pour des doses réduites et une qualité d'image optimale.
Principe de la radiographie

Les rayons X ont été découverts en 1895 par Wilhelm Conrad Roentgen. La radiographie est l’utilisation de ces rayons X sur une partie du corps pour en obtenir une image.
Le faisceau de rayon X va être plus ou moins atténué en traversant le corps et la mesure de cette atténuation va permettre de créer une image. Les zones où l’atténuation a été maximum (os) se présenteront en blanc et les zones où l’atténuation a été minime (tissus gras) se présenteront en noir. L’atténuation est proportionnelle à l’épaisseur et à la densité des tissus.
La numérisation de toute la chaîne d’imagerie a permis :
- Une diminution drastique de la dose nécessaire pour obtenir des images de qualité
- Une augmentation majeure de la qualité des clichés
Toutes nos tables sont d’ailleurs équipées d’une mesure de dose permanente qui nous permet d’utiliser les doses les plus faibles possibles.
Effets indésirables et contre-indications
Les rayons X sont des rayonnements ionisants susceptibles de générer des lésions sur votre organisme. L’utilisation de cette technique est donc extrêmement réglementée et confiée à des professionnels formés à leur utilisation et la radioprotection des patients et du personnel.
Des contrôles qualité internes et externes (indépendants) sont réalisés afin d’utiliser au mieux cette technique tout en diminuant les risques de l’exposition aux rayonnements.
Le radiologue est responsable de la bonne utilisation de cet examen et peut s’il le juge nécessaire, ne pas réaliser l’examen ou le substituer par une autre technique d’imagerie non irradiante.
La grossesse est la seule contre-indication à l’utilisation des rayons X. En cas de nécessité absolue, avec l’accord du radiologue et du prescripteur, et en prenant des mesures de radioprotection supplémentaires, l’examen peut être réalisé. Les équipements modernes et les mesures permanentes de qualité rendent les risques quasi inexistants. Les doses reçues sont d’ailleurs bien inférieures à celles reçues lors d’un voyage en avion.
Examens classiques
Examens ne nécessitant aucune préparation particulière

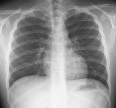
- Permet d'analyser le parenchyme pulmonaire à la recherche notamment d'une pneumonie ou de nodules.
- Permet d'analyser la plèvre à la recherche d'un épanchement ou d'un pneumothorax.
- Permet d'analyser le médiastin à la recherche d'une cardiomégalie ou de ganglions hilaires.
- Permet d'analyser le gril costal à la recherche d'une fracture.

- Permet de rechercher une perforation digestive (pneumopéritoine).
- Permet de rechercher un syndrome occlusif (niveaux hydro-aériques).
- Permet de rechercher une constipation chronique (stase stercorale).
- Permet de rechercher une souffrance digestive (pneumatose pariétale).

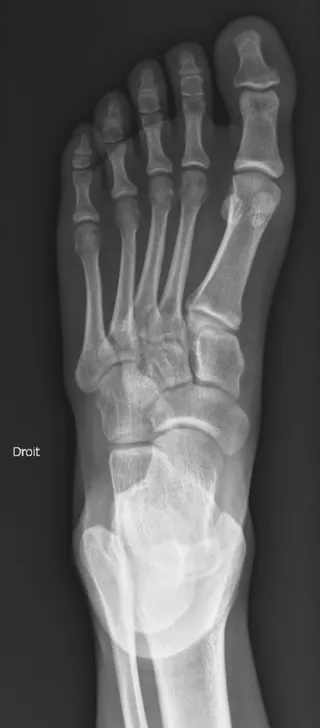
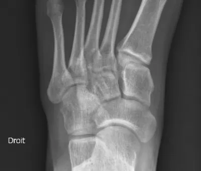
- Permet de rechercher une fracture.
- Permet de rechercher une arthrose ou une arthrite.
- Permet de rechercher des calcifications des tissus mous.
- Permet de visualiser la plupart des tumeurs osseuses bénignes ou malignes.
Examens particuliers
Examens avec préparation ou produit de contraste

L'arthrographie est un examen radiologique qui consiste à introduire un produit de contraste dans une articulation, le plus souvent pour la réalisation d'un arthroscanner ou pour guider une infiltration et être sûr du bon positionnement de l'injection du produit prescrit.
La diffusion du produit de contraste pendant l'injection permet de faire des diagnostics :
- de capsulite rétractile
- de lésion tendineuse et notamment de la coiffe
- de déceler des ulcérations des cartilages

Un transit baryté est un examen radiologique permettant d'étudier le tube digestif haut : œsophage, estomac, duodénum et intestin grêle. Il consiste à faire ingérer par un patient de la baryte, un produit de contraste opaque aux rayons X.
Des clichés radiographiques sont pris à différents temps, permettant d'explorer l'ensemble du tractus digestif haut à mesure que celui-ci se remplit de baryte.
Cet examen permet de détecter des anomalies telles que des tumeurs, polypes, diverticules, inflammations et infections.

L'hystérosalpingographie est un examen prescrit habituellement dans les cas de stérilité, d'avortements spontanés à répétition, de troubles des règles ou de saignements anormaux.
Il permet à l'aide de l'instillation locale d'un produit de contraste de mieux connaître la forme de l'utérus et de détecter des anomalies : fibromes, polypes ou adhérences.
L'hystérosalpingographie trouve toute son utilité dans l'analyse morphologique et fonctionnelle des trompes : perméabilité, rétrécissement, obstructions, séquelles d'infections.

Un lavement baryté est un examen radiologique permettant d'étudier le rectum et le côlon.
Il consiste à injecter un produit de contraste opaque aux rayons X, la baryte, dans le rectum et le côlon du patient, via une petite canule introduite dans l'anus. Puis des clichés radiographiques de l'abdomen sont pris.
Cet examen permet de détecter des tumeurs, polypes, diverticules, inflammations et infections.

La cystographie est une radiographie qui permet d'explorer les parois de la vessie et de l'urètre. Elle a pour but de détecter des diverticules, une tumeur ou un reflux de l'urine vers les reins.
Elle est utile dans les bilans de douleurs, d'infections urinaires ou de difficultés à uriner. Elle permet d'évaluer la taille de la vessie ainsi que sa position.
Au niveau de l'urètre, elle recherche un rétrécissement du conduit ou une irrégularité de son calibre.

L'urographie intraveineuse (UIV) est une technique d'examen radiologique qui permet d'explorer la morphologie du rein et la fonction rénale.
Ses indications incluent : obstruction des voies excrétrices, recherche de calculs, de tumeurs ou de métastases, reins ectopiques, uretère ectopique et hydronéphrose.
Préparation : le patient doit être à jeun depuis 4 heures. Une injection intraveineuse d'une solution iodée est réalisée, puis l'urographie est effectuée immédiatement après l'injection.